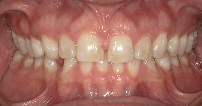
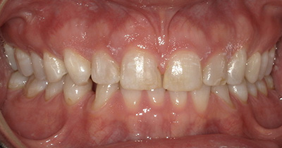
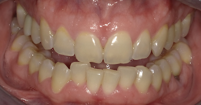
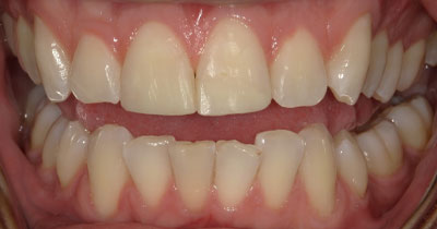
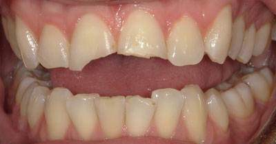
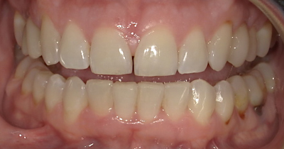
Before and After Treatment Photos

Incredible results and inspiring journeys – see some of our patients' before and after photos next time you visit our practice.

click on logo to go back to top Top